RAW 264.7细胞是一种常用的小鼠单核巨噬细胞系,来源于 Abelson鼠白血病病毒诱导的肿瘤。具有巨噬细胞的许多特性,如吞噬能力、抗原呈递和细胞因子分泌。常见于研究细胞吞噬、细胞免疫、分子免疫学。
RAW 264.7是一种单核细胞/巨噬细胞系,具有松散贴壁的立方形或纺锤形细胞和圆形活细胞。细胞松散附着、堆积并变圆是正常的,尤其是在培养密集时。活细胞可以分离和漂浮,特别是当培养物变得更加融合时。这些未附着的细胞仍然有活力,应通过温和离心保留下来,然后重新加入烧瓶中。不同批次血清的细微差异会导致RAW 264.7细胞或多或少的附着。我们使用未经热灭活的优质血清,因为热灭活可以减少附着因子和生长因子。

【货号】BC-C-MI-001
【规格】1*10^6个/T25培养瓶(或冻存管)
【保存】液氮保存,长期
【产品介绍】

指将这种小鼠单核巨噬细胞系诱导分化为不同功能表型(如促炎的M1型或抗炎的M2型)的过程,常用于研究免疫调节、炎症反应及疾病机制,主要的诱导参数和检测指标以及功能特征如下表所示


细胞预处理:
1、若为冻存细胞:取出1mL冻存管后,迅速放入37℃水浴锅中不断摇晃使其解冻,直至冻存管中无结晶(此过程尽量在2min内完成);准备15mL离心管,加入2-6mL完培,将冻存管中的细胞悬液移至离心管,1000 rpm离心3~5min;吸弃上清,用新鲜培养基重悬细胞,接种至无菌的培养器皿中,轻晃动混匀后放入37℃、5%CO2细胞培养箱中培养。
2、若为培养中的细胞:吸去培养液,加入不含钙镁的PBS,轻轻润洗瓶底1-2次,吸弃PBS;加入0.25%胰酶-EDTA消化液,铺匀瓶底放入培养箱中消化1-2min;倒置显微镜下观察大部分细胞变圆脱落,迅速加入完全培养基终止消化;接种:用DMEM完全培养基(DMEM培养基+10%FBS+双抗)重悬细胞至2-10×10^5/ml,24孔培养板中加入1ml细胞悬液(根据培养容器底面积进行换算),培养6-8h(建议传代安排在早上8-9点,这样有利后续的实验安排)。

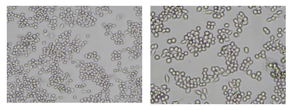
3、待细胞贴壁完成汇合度达到80%-90%左右,方可进行后续M1极化操作。吸取培养上清液添加新鲜配制的完全培养基,分别添加200ng/ml的LPS和20ng/ml的Mouse IFN-γ共刺激12h(过夜),次日检测相关结果(M1标记物如:CD80, iNOS, IL-1β, IL-6, CXCL1等,同时细胞形态也会出现如图所示明显的差异性。

A、无菌操作、细胞消化的把控,防止污染以及过度消化对细胞造成影响,进而影响后续实验结果;
B、M1极化的结果与细胞状态、极化的时间以及极化因子的浓度有关联关系,因此在实际操作过程中需要根据实际的现象对实验参数进行微调。